
A big toe bone spur, also known as hallux rigidus, is a bony growth that forms on the joint at the base of the big toe. This condition often causes pain and stiffness, limiting mobility. Cheilectomy is a surgical procedure used to treat this condition by removing the bone spur and any damaged tissue from the joint. The main cause of a bone spur in the big toe is osteoarthritis, which leads to the deterioration of cartilage and the growth of bone over time. In some cases, an injury or overuse of the toe can also contribute to the development of such bone spurs. A cheilectomy helps restore movement and reduce pain, allowing patients to return to normal activities. The procedure is often effective for those with moderate symptoms, offering relief from discomfort and improving joint function. If you have pain in your big toe, it is suggested that you consult a podiatrist who can determine if this type of surgery is needed.
Foot surgery is sometimes necessary to treat a foot ailment. To learn more, contact Dr. Robert Hope of Riverside Podiatry. Our doctor will assist you with all of your foot and ankle needs.
When Is Surgery Necessary?
Foot and ankle surgery is generally reserved for cases in which less invasive, conservative procedures have failed to alleviate the problem. Some of the cases in which surgery may be necessary include:
What Types of Surgery Are There?
The type of surgery you receive will depend on the nature of the problem you have. Some of the possible surgeries include:
Benefits of Surgery
Although surgery is usually a last resort, it can provide more complete pain relief compared to non-surgical methods and may allow you to finally resume full activity.
Surgical techniques have also become increasingly sophisticated. Techniques like endoscopic surgery allow for smaller incisions and faster recovery times.
If you have any questions, please feel free to contact our office located in Tuscaloosa, AL . We offer the newest diagnostic and treatment technologies for all your foot care needs.

Toenail fungus, also known as onychomycosis, is a common infection that develops in stages. In the early stage, the nail may appear dull or discolored with white or yellow spots. As the infection progresses, the nail thickens, becomes brittle, and may start to lift from the nail bed. In the advanced stage, the nail can become dark, crumbly, and emit an unpleasant odor, often causing discomfort or pain while walking. Toenail fungus is caused by fungi that thrive in warm, moist environments, such as locker rooms and inside shoes. It can spread easily from one nail to another or to other people through shared surfaces. A podiatrist can diagnose the condition through examination and laboratory testing, then provide treatments including antifungal medications or debridement to remove infected nail tissue. Early treatment offers the best results. If you are dealing with toenail fungus, it is suggested that you make an appointment with a podiatrist to restore healthy, clear nails.
If left untreated, toenail fungus may spread to other toenails, skin, or even fingernails. If you suspect you have toenail fungus it is important to seek treatment right away. For more information about treatment, contact Dr. Robert Hope of Riverside Podiatry. Our doctor can provide the care you need to keep you pain-free and on your feet.
Symptoms
Treatment
If self-care strategies and over-the-counter medications does not help your fungus, your podiatrist may give you a prescription drug instead. Even if you find relief from your toenail fungus symptoms, you may experience a repeat infection in the future.
Prevention
In order to prevent getting toenail fungus in the future, you should always make sure to wash your feet with soap and water. After washing, it is important to dry your feet thoroughly especially in between the toes. When trimming your toenails, be sure to trim straight across instead of in a rounded shape. It is crucial not to cover up discolored nails with nail polish because that will prevent your nail from being able to “breathe”.
In some cases, surgical procedure may be needed to remove the toenail fungus. Consult with your podiatrist about the best treatment options for your case of toenail fungus.
If you have any questions please contact our office located in Tuscaloosa, AL . We offer the newest diagnostic and treatment technologies for all your foot and ankle needs.

Flat feet, a common condition in children, occurs when the arches of the feet do not develop fully. There are two types, which are flexible flat feet, where the arch is visible when the child is sitting but flattens when standing, and rigid flat feet, where the arch is absent even when the foot is at rest. Symptoms include foot pain, difficulty walking, or tripping. In some cases, children may also complain of discomfort in their knees or lower back due to misalignment. Causes include genetic factors, obesity, or developmental issues in the foot's structure. Treatment varies depending on the severity. For flexible flat feet, wearing supportive shoes and using custom orthotics can help. In cases of rigid flat feet or severe pain, a podiatrist may recommend targeted exercises or surgery. If your child is dealing with this condition, it is suggested that you make an appointment with a podiatrist.
Flatfoot is a condition many people suffer from. If you have flat feet, contact Dr. Robert Hope from Riverside Podiatry. Our doctor will treat your foot and ankle needs.
What Are Flat Feet?
Flatfoot is a condition in which the arch of the foot is depressed and the sole of the foot is almost completely in contact with the ground. About 20-30% of the population generally has flat feet because their arches never formed during growth.
Conditions & Problems:
Having flat feet makes it difficult to run or walk because of the stress placed on the ankles.
Alignment – The general alignment of your legs can be disrupted, because the ankles move inward which can cause major discomfort.
Knees – If you have complications with your knees, flat feet can be a contributor to arthritis in that area.
Symptoms
Treatment
If you are experiencing pain and stress on the foot you may weaken the posterior tibial tendon, which runs around the inside of the ankle.
If you have any questions, please feel free to contact our office located in Tuscaloosa, AL . We offer the newest diagnostic and treatment technologies for all your foot care needs.

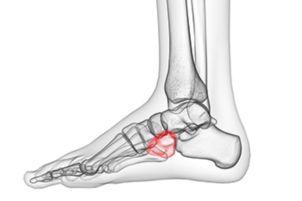
Cuboid syndrome occurs when the cuboid bone on the outer side of the foot becomes partially displaced or irritated, often due to overuse, ankle sprains, or repetitive stress. This condition can cause sharp pain along the outside of the foot, especially while walking or pushing off. Because it can mimic other injuries, proper diagnosis is essential. A podiatrist will carefully examine the foot, assess joint mobility, and may perform imaging to confirm the diagnosis. Treatment often includes gentle manipulation to realign the bone, padding or taping to stabilize the area, and custom orthotics to prevent recurrence. Targeted exercises may also be given to restore strength and flexibility. If you experience persistent pain on the outer side of your foot or discomfort after activity, it is suggested that you see a podiatrist for evaluation and personalized care.
Cuboid syndrome, also known as cuboid subluxation, occurs when the joints and ligaments near the cuboid bone in the foot become torn. If you have cuboid syndrome, consult with Dr. Robert Hope from Riverside Podiatry. Our doctor will assess your condition and provide you with quality foot and ankle treatment.
Cuboid syndrome is a common cause of lateral foot pain, which is pain on the outside of the foot. The condition may happen suddenly due to an ankle sprain, or it may develop slowly overtime from repetitive tension through the bone and surrounding structures.
Causes
The most common causes of cuboid syndrome include:
Symptoms
A common symptom of cuboid syndrome is pain along the outside of the foot which can be felt in the ankle and toes. This pain may create walking difficulties and may cause those with the condition to walk with a limp.
Diagnosis
Diagnosis of cuboid syndrome is often difficult, and it is often misdiagnosed. X-rays, MRIs and CT scans often fail to properly show the cuboid subluxation. Although there isn’t a specific test used to diagnose cuboid syndrome, your podiatrist will usually check if pain is felt while pressing firmly on the cuboid bone of your foot.
Treatment
Just as the range of causes varies widely, so do treatments. Some more common treatments are ice therapy, rest, exercise, taping, and orthotics.
If you have any questions, please feel free to contact our office located in Tuscaloosa, AL . We offer the newest diagnostic and treatment technologies for all your foot care needs.